Makaleler 31/10/2017

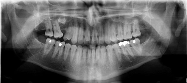
Panaromik Görüntüleme

Dt. Yeşim Ramos Davarcıoğlu Diş Hekimi
Dt. Yeşim Ramos Davarcıoğlu
Diş Hekimi

Panoramik röntgen, çenelerin, tüm dişlerin, çene ve dişlerdeki bir çok rahatsızlığın tek bir filmde
görülmesini sağlayan röntgen filmleridir.

Neden ihtiyaç duyulur?

Panoramik röntgen, çene ve dişlerde gözle görülemeyen çürük, kist ve tümör gibi oluşumların teşhisinde
gereklidir.
Tedavi planlamasının daha hızlı ve eksiksiz biçimde yapılmasına yardımcı röntgen filmleridir.
Çene ve dişlerle ilgili operasyonlardan önce hekimin görmesi gereken bir röntgendir. Çünkü bu
röntgenler tedavi uygulanacak alanı geniş bir şekilde gösterir ve operasyonun başarısını arttırır.

Panaromik röntgenin avantajları nelerdir?

Panoramik röntgen bir çok diş çürüğü, çenelerdeki kistik ve tümoral oluşumlarla ilgili erken teşhis olanağı
sağlar.
Tüm dişlerin görüntüsü tek bir röntgen üzerinde görülebilir.
Tüm dişlerin görüntüsünün alınmasıyla erken teşhis ve tedavi olanağı sağlar. Bu sayede hem zamandan
hem de tedavi maliyetlerinden tasarruf sağlanır.
Panoramik röntgen tüm dişlerin ve çene kemiğinin daha az ışın alarak birlikte görüntülendiği bir
tomografik röntgen çeşididir.
Dijital sitemin kullanılması görüntü kalitesini artırmakta ve kişinin aldığı radyasyon miktarını belirgin
şekilde azaltmaktadır.

Bu makalenin DoktorTakvimi web sitesinde yayımlanması, yazarın açık izniyle yapılmaktadır. Web sitesindeki tüm içerikler, fikri ve sınai mülkiyet mevzuatı kapsamında uygun şekilde korunmaktadır.

DocPlanner Teknoloji A.Ş. web sitesi tıbbi tavsiye sunmaz. Bu sayfanın içeriği, metinler, grafikler, görseller ve diğer materyaller de dahil olmak üzere, yalnızca bilgilendirme amacıyla oluşturulmuştur ve tıbbi tavsiye, teşhis veya tedavinin yerini almak amacı taşımaz. Herhangi bir sağlık sorununuzla ilgili şüpheniz varsa, bir uzmana danışınız.


www.doktortakvimi.com © 2025 - Doktor bul ve randevu al

Bu web sitesi çerezleri kullanıyor.
Tarayıcınızda çerezlerle ilgili ayarları düzenleyebilirsiniz.