İhtisaslar
Makaleler
Uzmanlıklar
Acil Tıp
Adli Tıp
Ağız Diş Ve Çene Cerrahisi
Ağız Diş Ve Çene Radyolojisi
Aile Danışmanlığı
Aile Hekimliği
Aile Terapisi
Akupunktur
Alerji Hastalıkları
Algoloji
Androloji
Anesteziyoloji Ve Reanimasyon
Beyin Ve Sinir Cerrahisi
Cerrahi Onkoloji
Çocuk Alerjisi
Çocuk Cerrahisi
Çocuk Diş Hekimliği (Pedodonti)
Çocuk Endokrinolojisi
Çocuk Enfeksiyon Hastalıkları
Çocuk Gastroenteroloji Hepatoloji Ve Beslenme
Çocuk Gelişimi
Çocuk Genetik Hastalıkları
Çocuk Göğüs Hastalıkları
Çocuk Hematolojisi
Çocuk İmmünolojisi
Çocuk Kardiyolojisi
Çocuk Nefrolojisi
Çocuk Nörolojisi
Çocuk Onkolojisi
Çocuk Romatolojisi
Çocuk Sağlığı Ve Hastalıkları
Çocuk Ürolojisi
Çocuk ve Ergen Psikiyatrisi
Dermatoloji
Dil ve Konuşma Terapisi
Diş Hastalıkları Ve Tedavisi
Diş Hekimi
Diyetisyen
El Cerrahisi
Endokrinoloji Ve Metabolizma Hastalıkları
Enfeksiyon Hastalıkları
Ergoterapi
Fitoterapi
Fiziksel Tıp Ve Rehabilitasyon
Fizyoterapi Ve Rehabilitasyon
Gastroenteroloji
Gastroenteroloji Cerrahisi
Genel Cerrahi
Geriatri
Girişimsel Radyoloji
Göğüs Cerrahisi
Göğüs Hastalıkları
Göğüs Hastalıkları Ve Tüberküloz
Göz Hastalıkları
Halk Sağlığı
Hematoloji
Hepatoloji
İç Hastalıkları
İmmünoloji
Jinekolojik Onkoloji Cerrahisi
Kadın Hastalıkları Ve Doğum
Kalp Ve Damar Cerrahisi
Kardiyoloji
Kulak Burun Boğaz
Mezoterapi
Nefroloji
Neonatoloji
Nöroloji
Nükleer Tıp
Odyoloji (Dil, Konuşma ve Ses Bozuklukları)
Ortodonti
Ortopedi Ve Travmatoloji
Pedagoji
Perinatoloji
Periodontoloji
Plastik Rekonstrüktif Ve Estetik Cerrahi
Pratisyen
Prostodonti
Protetik Diş Tedavisi
Psikiyatri
Psikoloji
Psikolojik Danışma ve Rehberlik
Radyasyon Onkolojisi
Radyoloji
Romatoloji
Sertifikalı Medikal Estetik
Spor Hekimliği
Tıbbi Biyokimya
Tıbbi Farmakoloji
Tıbbi Onkoloji
Tıbbi Patoloji
Üreme Endokrinolojisi Ve İnfertilite
Üroloji
Ana Sayfa
Nöroloji
Nöroloji
Makaleler
05/04/2017
NÖRAL TERAPİ2
Hacemat akupunktur kortizon ötesi bir tedavi şekli … Nöralterapi, otonom diğer bir adıyla vejetatif sinir sistemine etki ederek vücudu...
Makaleler
04/02/2017
EMG/ENMG (Elektronöromiyografi) Nedir?
EMG/ENMG (Elektronöromiyografi) Nedir? EMG sinirler ve kaslardan alınan elektriksel sinyallerin özel bir cihazla kayıtlanması işlem...
Makaleler
04/02/2017
Ağrı kesiciler baş ağrısını artırıyor!
Ağrı kesiciler baş ağrısını artırıyor! Başta, Gerilim Tipi Baş Ağrısı ve Migren olmak üzere primer baş ağrılarının toplumda sık gör...
Makaleler
04/02/2017
Baş Ağrısı2
Baş ağrıları toplumda ne sıklıkta görülmektedir? Baş ağrısı toplumda en sık görülen şikâyetlerin başında gelir. Baş ağrısı şikâyeti ol...
Makaleler
25/01/2017
Stresim yok neden gerilim baş ağrısı olsun?
Gerilim (strese bağlı) baş ağrısı kimlerde görülür? hemen herkeste hayatının bir döneminde gerilim baş ağrısı görülür. Başında ağırlı...
Makaleler
24/01/2017
Sonbaharda yüz felcine dikkat
Yüz felcinin belirtileri nelerdir? Konuşurken veya gülerken ağızda bir tarafa kayma, göz kapağını kapatmada zorluk, boyun ağrısı, kul...
Makaleler
24/01/2017
Beyin sinir hastalıkları (nöroloji) ve beyin cerrahisinin ilgi alanları 2
Hangi hastalar nöroloji (beyin ve sinir hastalıkları) uzmanına hangi hastalar beyin ve sinir cerrahisi uzmanına (nöroşiruji) başvurmal...
Makaleler
23/01/2017
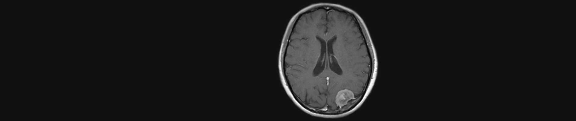
Beyin MR’ında görülen lekeler tehlikeli midir? 2
Nöroloji uzmanına sık sorulan beyin emarında (MR) görülen lekelerden bahsetmek istiyorum. Beyin MR’ında leke (lezyon, iskemik gliotik...
Makaleler
23/01/2017
Baş Dönmesi (Vertigo) ve Nörolojik Değerlendirme
Denge sistemi nelerden oluşur? Denge sistemimiz basitçe iç kulakta denge organları (yarım daire kanalları), denge siniri, beyin s...
Makaleler
23/01/2017
Alzheimer hastalığı nedir?
Alzheimer hastalığı yavaş sinsi şekilde ilerleyen beyin hastalığıdır. Genelde ileri yaşta başlayan unutkanlık hatırlamada güçlük ve ...
Makaleler
13/10/2016
Beyin MR’ında Görülen Lekeler Tehlikeli Midir?
Nöroloji uzmanına sık sorulan beyin emarında (MR) görülen lekelerden bahsetmek istiyorum. Beyin MR’ında leke (lezyon, iskemik gliot...
Makaleler
13/10/2016
Alzheimer Hastalığı ..
Alzheimer hastalığı nedir? Alzheimer hastalığı yavaş sinsi şekilde ilerleyen beyin hastalığıdır. Genelde ileri yaşta başlayan ...
Popüler makaleler
Beyin MR’ında görülen lekeler tehlikeli midir? 2
İnceliyorum Ama Tartı Sonucu Düşmüyor Neden?
Erkeklerde İdeal Penis Kalınlığı Ne Kadar Olmalıdır ?
Adım Adım Takıntılardan Kurtulmak
Önceki
1
...
16
17
18
19
20
21
Sonraki
DocPlanner Teknoloji A.Ş. E-5 Karayolu, Esentepe Mahallesi, Lapis Han, No:25 D:102-103-120 Kartal İstanbul, Türkiye
Biz
Gizlilik Politikası
Ayarları Düzenle
İnternet sitesinde kayıtlı olmayan uzman/hekimler i̇çin gizlilik politikası
Çerez Politikası
Bilgi Güvenliği Politikası
Hakkımızda
İletişim
Kariyer | İşe alım yapıyoruz!
Kullanım Şartnamesi
Basın Merkezi
Hastaysanız
Doktorlar
Klinikler
Hizmetler
Hastaliklar
Yardım
Mobil Uygulamalar
Hastalara Yönelik Blog
Aydınlatma Metni
Sıkça Sorulan Sorular
www.doktortakvimi.com © 2025 - Doktor bul ve randevu al
Bu web sitesi çerezleri kullanıyor.
Tarayıcınızda çerezlerle ilgili ayarları düzenleyebilirsiniz.