İhtisaslar
Makaleler
Uzmanlıklar
Acil Tıp
Adli Tıp
Ağız Diş Ve Çene Cerrahisi
Ağız Diş Ve Çene Radyolojisi
Aile Danışmanlığı
Aile Hekimliği
Aile Terapisi
Akupunktur
Alerji Hastalıkları
Algoloji
Androloji
Anesteziyoloji Ve Reanimasyon
Beyin Ve Sinir Cerrahisi
Cerrahi Onkoloji
Çocuk Alerjisi
Çocuk Cerrahisi
Çocuk Diş Hekimliği (Pedodonti)
Çocuk Endokrinolojisi
Çocuk Enfeksiyon Hastalıkları
Çocuk Gastroenteroloji Hepatoloji Ve Beslenme
Çocuk Gelişimi
Çocuk Genetik Hastalıkları
Çocuk Göğüs Hastalıkları
Çocuk Hematolojisi
Çocuk İmmünolojisi
Çocuk Kardiyolojisi
Çocuk Nefrolojisi
Çocuk Nörolojisi
Çocuk Onkolojisi
Çocuk Romatolojisi
Çocuk Sağlığı Ve Hastalıkları
Çocuk Ürolojisi
Çocuk ve Ergen Psikiyatrisi
Dermatoloji
Dil ve Konuşma Terapisi
Diş Hastalıkları Ve Tedavisi
Diş Hekimi
Diyetisyen
El Cerrahisi
Endokrinoloji Ve Metabolizma Hastalıkları
Enfeksiyon Hastalıkları
Ergoterapi
Fitoterapi
Fiziksel Tıp Ve Rehabilitasyon
Fizyoterapi Ve Rehabilitasyon
Gastroenteroloji
Gastroenteroloji Cerrahisi
Genel Cerrahi
Geriatri
Girişimsel Radyoloji
Göğüs Cerrahisi
Göğüs Hastalıkları
Göğüs Hastalıkları Ve Tüberküloz
Göz Hastalıkları
Halk Sağlığı
Hematoloji
Hepatoloji
İç Hastalıkları
İmmünoloji
Jinekolojik Onkoloji Cerrahisi
Kadın Hastalıkları Ve Doğum
Kalp Ve Damar Cerrahisi
Kardiyoloji
Kulak Burun Boğaz
Mezoterapi
Nefroloji
Neonatoloji
Nöroloji
Nükleer Tıp
Odyoloji (Dil, Konuşma ve Ses Bozuklukları)
Ortodonti
Ortopedi Ve Travmatoloji
Pedagoji
Perinatoloji
Periodontoloji
Plastik Rekonstrüktif Ve Estetik Cerrahi
Pratisyen
Prostodonti
Protetik Diş Tedavisi
Psikiyatri
Psikoloji
Psikolojik Danışma ve Rehberlik
Radyasyon Onkolojisi
Radyoloji
Romatoloji
Sertifikalı Medikal Estetik
Spor Hekimliği
Tıbbi Biyokimya
Tıbbi Farmakoloji
Tıbbi Onkoloji
Tıbbi Patoloji
Üreme Endokrinolojisi Ve İnfertilite
Üroloji
Ana Sayfa
Periodontoloji
Periodontoloji
Makaleler
23/01/2017
YEREL DİŞETİ ÇEKİLMELERİ
Çoğu kez ön diş bölgelerinde görülen köklerin açığa çıktığı durumlardır. Dişeti kenarı mine-sement sınırının altında ise dişeti çekilm...
Makaleler
23/01/2017
DİŞ HASSASİYETİ ve TEDAVİSİ
Dentin Hassasiyeti nedir ve nasıl oluşur. Dişlerimizin en üst tabakası sert ve kristalize bir yapıya sahip olan mine tabakasıdır. M...
Makaleler
12/01/2017
Diş implantı nedir? Diş implantının riski varmıdır?
Diş implantında riskli faktörler nelerdir?Hastanın Periodontal sağlığının önemi; Diş implantın başarılı olmasındaki en önemli fakto...
Makaleler
11/01/2017
Diş Mobilitesi
Teşhis ve Tedavisi Çiğnemeye bağlı sürekli travma , dişlerin çene kemiğine bağlandığı dokularda yıllara dayalı değişikliklere yol açm...
Makaleler
13/11/2016
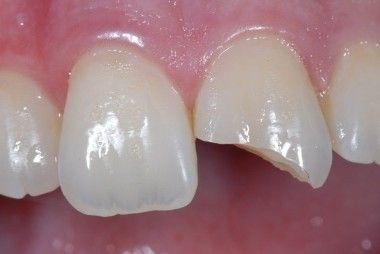
Diş Hekimliğinde Acil Yaklaşım
Diş Hekimliğinde Acil Yaklaşım Dişlerde beklenmedik zamanlarda sorunlar ortaya çıkabilir. Bu gibi durumlarda doğru yapılacak ilk ya...
Makaleler
03/08/2016
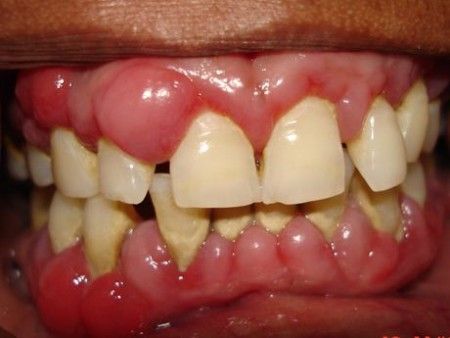
Diş Eti Kanamaları: Buzdağının Görünen Yüzü
Diş eti hastalıkları (Periodontal hastalıklar), birçok faktörün devreye girmesi ile meydana gelebilen ve toplumda oldukça sık görülen...
Makaleler
30/06/2016
DİŞ ETİ HASTALIKLARINDA BESLENME
Genel olarak zayıf beslenme ve bunula birlikte vitamin eksikliği diş eti rahatsızlıklarına, dişlerde çürümelere ve çene kemiğinin...
Makaleler
17/11/2015
Vücudumuzdaki Gizli Düşman… Diş Eti İltihabı
Dişeti hastalıkları (aynı zamanda periodontal hastalıklar olarak da bilinir) dişeti ve dişleri destekleyen dokuları etkileyen enfeksiy...
Popüler makaleler
Beyin MR’ında görülen lekeler tehlikeli midir? 2
İnceliyorum Ama Tartı Sonucu Düşmüyor Neden?
Erkeklerde İdeal Penis Kalınlığı Ne Kadar Olmalıdır ?
Adım Adım Takıntılardan Kurtulmak
Önceki
1
2
3
4
DocPlanner Teknoloji A.Ş. E-5 Karayolu, Esentepe Mahallesi, Lapis Han, No:25 D:102-103-120 Kartal İstanbul, Türkiye
Biz
Gizlilik Politikası
Ayarları Düzenle
İnternet sitesinde kayıtlı olmayan uzman/hekimler i̇çin gizlilik politikası
Çerez Politikası
Bilgi Güvenliği Politikası
Hakkımızda
İletişim
Kariyer | İşe alım yapıyoruz!
Kullanım Şartnamesi
Basın Merkezi
Hastaysanız
Doktorlar
Klinikler
Hizmetler
Hastaliklar
Yardım
Mobil Uygulamalar
Hastalara Yönelik Blog
Aydınlatma Metni
Sıkça Sorulan Sorular
www.doktortakvimi.com © 2025 - Doktor bul ve randevu al
Bu web sitesi çerezleri kullanıyor.
Tarayıcınızda çerezlerle ilgili ayarları düzenleyebilirsiniz.