İhtisaslar
Makaleler
Uzmanlıklar
Acil Tıp
Adli Tıp
Ağız Diş Ve Çene Cerrahisi
Ağız Diş Ve Çene Radyolojisi
Aile Danışmanlığı
Aile Hekimliği
Aile Terapisi
Akupunktur
Alerji Hastalıkları
Algoloji
Androloji
Anesteziyoloji Ve Reanimasyon
Beyin Ve Sinir Cerrahisi
Cerrahi Onkoloji
Çocuk Alerjisi
Çocuk Cerrahisi
Çocuk Diş Hekimliği (Pedodonti)
Çocuk Endokrinolojisi
Çocuk Enfeksiyon Hastalıkları
Çocuk Gastroenteroloji Hepatoloji Ve Beslenme
Çocuk Gelişimi
Çocuk Genetik Hastalıkları
Çocuk Göğüs Hastalıkları
Çocuk Hematolojisi
Çocuk İmmünolojisi
Çocuk Kardiyolojisi
Çocuk Nefrolojisi
Çocuk Nörolojisi
Çocuk Onkolojisi
Çocuk Romatolojisi
Çocuk Sağlığı Ve Hastalıkları
Çocuk Ürolojisi
Çocuk ve Ergen Psikiyatrisi
Dermatoloji
Dil ve Konuşma Terapisi
Diş Hastalıkları Ve Tedavisi
Diş Hekimi
Diyetisyen
El Cerrahisi
Endokrinoloji Ve Metabolizma Hastalıkları
Enfeksiyon Hastalıkları
Ergoterapi
Fitoterapi
Fiziksel Tıp Ve Rehabilitasyon
Fizyoterapi Ve Rehabilitasyon
Gastroenteroloji
Gastroenteroloji Cerrahisi
Genel Cerrahi
Geriatri
Girişimsel Radyoloji
Göğüs Cerrahisi
Göğüs Hastalıkları
Göğüs Hastalıkları Ve Tüberküloz
Göz Hastalıkları
Halk Sağlığı
Hematoloji
Hepatoloji
İç Hastalıkları
İmmünoloji
Jinekolojik Onkoloji Cerrahisi
Kadın Hastalıkları Ve Doğum
Kalp Ve Damar Cerrahisi
Kardiyoloji
Kulak Burun Boğaz
Mezoterapi
Nefroloji
Neonatoloji
Nöroloji
Nükleer Tıp
Odyoloji (Dil, Konuşma ve Ses Bozuklukları)
Ortodonti
Ortopedi Ve Travmatoloji
Pedagoji
Perinatoloji
Periodontoloji
Plastik Rekonstrüktif Ve Estetik Cerrahi
Pratisyen
Prostodonti
Protetik Diş Tedavisi
Psikiyatri
Psikoloji
Psikolojik Danışma ve Rehberlik
Radyasyon Onkolojisi
Radyoloji
Romatoloji
Sertifikalı Medikal Estetik
Spor Hekimliği
Tıbbi Biyokimya
Tıbbi Farmakoloji
Tıbbi Onkoloji
Tıbbi Patoloji
Üreme Endokrinolojisi Ve İnfertilite
Üroloji
Ana Sayfa
Periodontoloji
Periodontoloji
Makaleler
10/12/2017
Aft Nedir ?
Sıklıkla dil, dudak ve yanak mukozası, yumuşak damak ve diş etleri üzerinde görülen sarı kırmızı hare ile çevrili ağrılı ülser lezyonl...
Makaleler
25/09/2017
Diş eti hastalıkları, diş fırçalama tekniği
Piyore diş eti hastalıklarının genel adıdır. Sağlam diş eti açık pembe renklidir ve dişleri sıkıca sarar. Sağlam diş etinde diş eti ka...
Makaleler
25/09/2017
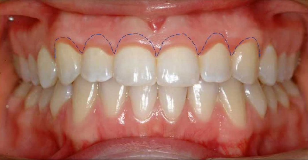
Diş eti çekilmesi, diş eti kanaması
Diş eti bir kemik üzerine oturmuş olan bir yapıdır. Bu yapı dişlerin sabit şekilde durmasını sağlar. Ancak zaman içerisinde biriken ba...
Makaleler
30/05/2017
Periodontoloji nedir? Diş Eti hastalakları nelerdir?
Periodontal Cerrahi nasıl yapılır? Diş Eti Çekilmesi nasıl olur? Periodontal cerrahinin tedavinin amacı, cerrahisiz periodonta...
Makaleler
26/03/2017
DİŞ ETİ TEDAVİSİ VE ANTİBİYOTİKLER
Diş eti hastalıkları temel olarak iki ana gurupta değerlendirilir : Gingivitisler ve Periodontitisler. Her iki durumda da dişler...
Makaleler
19/03/2017
DİŞLERDE ARALANMALAR (YER DEĞİŞİKLİKLERİ) ve MİGRASYON TEDAVİSİ
Diş eti iltihaplı hastalıklarının (Periodontitis) , yıllar boyu yaptığı tahribatın bir sonucu da dişleri olması gereken konumda muhafa...
Makaleler
12/03/2017
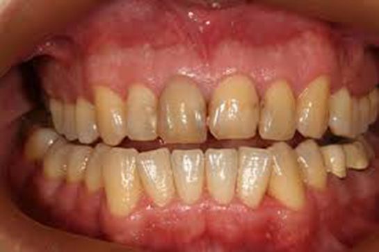
Diş Eti Kanaması Nedir? Tedavisi Nasıldır?
Diş eti kanaması toplumun büyük çoğunluğunu ilgilendiren, birçok farklı hastalığın ilk belirtisi olarak ortaya çıkan önemli bir sağlık...
Makaleler
05/03/2017
DİŞ ETİ CERRAHİSİ VE FLAP OPERASYONU
Dişeti cerrahisi (Periodontal Cerrahi) dişetleriyle ilgili çok sayıda cerrahi yaklaşımı içerir. Bu makalemizde sadece ilerlemiş ...
Makaleler
26/02/2017
GİNGİVEKTOMİ VE GİNGİVOPLASTİ NEDİR , ? DİŞ BOYU UZATILMASI NEDİR NASIL YAPILIR ?
Gingivektomi ve gingivoplasti operasyonları periodontal estetik cerrahisinde estetiği sağlamak için uygulanan cerrahi tedavi...
Makaleler
19/02/2017
DİŞ ETİ RENGİNDE SİYAHLAŞMALAR VE TEDAVİSİ (DEPİGMENTASYON )
Melanosit pigmentasyonları genellikle koyu ten rengine sahip esmer kişilerde ,yapışık dişeti bandında melanosit adını verdiğimiz...
Makaleler
29/01/2017
DİŞ ETİ HASTALIKLARI ve SAĞLIĞIMIZA ETKİSİ
Dişlerimizi düzenli olarak temizlemek, dişetlerimizin aralarını dişlerarası fırçalarla bakterilerden arındırmak , dilimizi...
Makaleler
26/01/2017
AFT nedir NASIL TEDAVİ EDİLİR ?
Aft ağzımızda zaman zaman tekrarlayan 2-5 mm çapında bir veya bir kaç tane ülsere oluşumlardır. Stomatitis Apthosa,Rekürrent Aft...
Popüler makaleler
Beyin MR’ında görülen lekeler tehlikeli midir? 2
İnceliyorum Ama Tartı Sonucu Düşmüyor Neden?
Erkeklerde İdeal Penis Kalınlığı Ne Kadar Olmalıdır ?
Adım Adım Takıntılardan Kurtulmak
Önceki
1
2
3
4
Sonraki
DocPlanner Teknoloji A.Ş. E-5 Karayolu, Esentepe Mahallesi, Lapis Han, No:25 D:102-103-120 Kartal İstanbul, Türkiye
Biz
Gizlilik Politikası
Ayarları Düzenle
İnternet sitesinde kayıtlı olmayan uzman/hekimler i̇çin gizlilik politikası
Çerez Politikası
Bilgi Güvenliği Politikası
Hakkımızda
İletişim
Kariyer | İşe alım yapıyoruz!
Kullanım Şartnamesi
Basın Merkezi
Hastaysanız
Doktorlar
Klinikler
Hizmetler
Hastaliklar
Yardım
Mobil Uygulamalar
Hastalara Yönelik Blog
Aydınlatma Metni
Sıkça Sorulan Sorular
www.doktortakvimi.com © 2025 - Doktor bul ve randevu al
Bu web sitesi çerezleri kullanıyor.
Tarayıcınızda çerezlerle ilgili ayarları düzenleyebilirsiniz.