İhtisaslar
Makaleler
Uzmanlıklar
Acil Tıp
Adli Tıp
Ağız Diş Ve Çene Cerrahisi
Ağız Diş Ve Çene Radyolojisi
Aile Danışmanlığı
Aile Hekimliği
Aile Terapisi
Akupunktur
Alerji Hastalıkları
Algoloji
Androloji
Anesteziyoloji Ve Reanimasyon
Beyin Ve Sinir Cerrahisi
Cerrahi Onkoloji
Çocuk Alerjisi
Çocuk Cerrahisi
Çocuk Diş Hekimliği (Pedodonti)
Çocuk Endokrinolojisi
Çocuk Enfeksiyon Hastalıkları
Çocuk Gastroenteroloji Hepatoloji Ve Beslenme
Çocuk Gelişimi
Çocuk Genetik Hastalıkları
Çocuk Göğüs Hastalıkları
Çocuk Hematolojisi
Çocuk İmmünolojisi
Çocuk Kardiyolojisi
Çocuk Nefrolojisi
Çocuk Nörolojisi
Çocuk Onkolojisi
Çocuk Romatolojisi
Çocuk Sağlığı Ve Hastalıkları
Çocuk Ürolojisi
Çocuk ve Ergen Psikiyatrisi
Dermatoloji
Dil ve Konuşma Terapisi
Diş Hastalıkları Ve Tedavisi
Diş Hekimi
Diyetisyen
El Cerrahisi
Endokrinoloji Ve Metabolizma Hastalıkları
Enfeksiyon Hastalıkları
Ergoterapi
Fitoterapi
Fiziksel Tıp Ve Rehabilitasyon
Fizyoterapi Ve Rehabilitasyon
Gastroenteroloji
Gastroenteroloji Cerrahisi
Genel Cerrahi
Geriatri
Girişimsel Radyoloji
Göğüs Cerrahisi
Göğüs Hastalıkları
Göğüs Hastalıkları Ve Tüberküloz
Göz Hastalıkları
Halk Sağlığı
Hematoloji
Hepatoloji
İç Hastalıkları
İmmünoloji
Jinekolojik Onkoloji Cerrahisi
Kadın Hastalıkları Ve Doğum
Kalp Ve Damar Cerrahisi
Kardiyoloji
Kulak Burun Boğaz
Mezoterapi
Nefroloji
Neonatoloji
Nöroloji
Nükleer Tıp
Odyoloji (Dil, Konuşma ve Ses Bozuklukları)
Ortodonti
Ortopedi Ve Travmatoloji
Pedagoji
Perinatoloji
Periodontoloji
Plastik Rekonstrüktif Ve Estetik Cerrahi
Pratisyen
Prostodonti
Protetik Diş Tedavisi
Psikiyatri
Psikoloji
Psikolojik Danışma ve Rehberlik
Radyasyon Onkolojisi
Radyoloji
Romatoloji
Sertifikalı Medikal Estetik
Spor Hekimliği
Tıbbi Biyokimya
Tıbbi Farmakoloji
Tıbbi Onkoloji
Tıbbi Patoloji
Üreme Endokrinolojisi Ve İnfertilite
Üroloji
Makaleler
04/02/2017
AĞIZ DIŞI APAREYLER
AĞIZ DIŞI APAREYLER Ergenlik dönemindeki hastaların bir kısmında kullanılan bu apareyler yüksek düzeyde hasta uyumu gerektirir. Takıp...
Daha fazlasını oku
Makaleler
04/02/2017
AĞIZ DIŞI APAREYLER
AĞIZ DIŞI APAREYLER Ergenlik dönemindeki hastaların bir kısmında kullanılan bu apareyler yüksek düzeyde hasta uyumu gerektirir. Takıp...
Makaleler
04/02/2017
Ortodontik Tedavi
Çoğu insan için güzel bir gülümseme ortodontinin en önemli ve en bariz yararıdır. Ortodontik tedavi sonrası teller çıkarıldıktan sonra...
Makaleler
04/02/2017
Göz Kapağı Ameliyatı
Göz kapaklarındaki fazla cilt ve yağ kişiyi yorgun ve yaşlı gösterir. Estetik göz kapağı operasyonunda göz kapaklarındaki fazla cilt, ...
Makaleler
04/02/2017
Tüp Mide Ameliyatı ile Obezite Cerrahisi 2
Obezite cerrahisi için pek çok yöntem olmakla birlikte tüp mide ameliyatı ile obezite cerrahisi giderek daha sık tercih edilmekte. Tüp...
Makaleler
04/02/2017
Vajinismus Belirtileri Nelerdir?
Vajinismusun kesin teşhisinde öncelikle jinekolojik değerlendirme yapıyorum. Jinekolojik muayene masasında yapılır, son derece kolay v...
Makaleler
04/02/2017
EMG/ENMG (Elektronöromiyografi) Nedir?
EMG/ENMG (Elektronöromiyografi) Nedir? EMG sinirler ve kaslardan alınan elektriksel sinyallerin özel bir cihazla kayıtlanması işlem...
Makaleler
04/02/2017
Ağrı kesiciler baş ağrısını artırıyor!
Ağrı kesiciler baş ağrısını artırıyor! Başta, Gerilim Tipi Baş Ağrısı ve Migren olmak üzere primer baş ağrılarının toplumda sık gör...
Makaleler
04/02/2017
Baş Ağrısı2
Baş ağrıları toplumda ne sıklıkta görülmektedir? Baş ağrısı toplumda en sık görülen şikâyetlerin başında gelir. Baş ağrısı şikâyeti ol...
Makaleler
03/02/2017
Göğüs Dikleştirme Estetiği
Göğüs Dikleştirme Estetiği Göğüs dikleştirme estetiğinin cerrahi karşılığı ”Mastopeksi İşlemi”dir. Bu işlem vasıtasıyla sarkık konu...
Makaleler
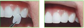
03/02/2017
LAMİNA KAPLAMALAR
Lamina porselen ve kompozit kaplamalar olarak 2 çeşittir. Özellikle ön dişlerde uygulanan bu restorasyonlar dişlerin sadece ön bölgesi...
Makaleler
03/02/2017
Estetik Amaçla Diş Tedavisine Karar Veren Bir Kişinin Aklından Geçenler
%96 Hepimiz bir çok şeye sahip olmak isteriz.Sahiplenmek istediklerimizin bir kısmı ulaşılabilir bir kısmı ise ulaşılması zor ...
Önceki
1
...
2227
2228
2229
2230
2231
...
2378
Sonraki
Popüler makaleler
Beyin MR’ında görülen lekeler tehlikeli midir? 2
İnceliyorum Ama Tartı Sonucu Düşmüyor Neden?
Erkeklerde İdeal Penis Kalınlığı Ne Kadar Olmalıdır ?
Adım Adım Takıntılardan Kurtulmak
DocPlanner Teknoloji A.Ş. E-5 Karayolu, Esentepe Mahallesi, Lapis Han, No:25 D:102-103-120 Kartal İstanbul, Türkiye
Biz
Gizlilik Politikası
Ayarları Düzenle
İnternet sitesinde kayıtlı olmayan uzman/hekimler i̇çin gizlilik politikası
Çerez Politikası
Bilgi Güvenliği Politikası
Hakkımızda
İletişim
Kariyer | İşe alım yapıyoruz!
Kullanım Şartnamesi
Basın Merkezi
Hastaysanız
Doktorlar
Klinikler
Hizmetler
Hastaliklar
Yardım
Mobil Uygulamalar
Hastalara Yönelik Blog
Aydınlatma Metni
Sıkça Sorulan Sorular
www.doktortakvimi.com © 2025 - Doktor bul ve randevu al
Bu web sitesi çerezleri kullanıyor.
Tarayıcınızda çerezlerle ilgili ayarları düzenleyebilirsiniz.